Again issues are one of many greatest well being considerations for Dachshunds, and about 1 in 4 will expertise intervertebral disk illness (IVDD) of their lifetime.
Sadly, many Dachshund house owners are unaware of this threat. Of these which might be, a good portion are both terrified it should occur to their Dachshund and/or it’s occurred to theirs they usually’ve made it their mission to coach individuals about again points within the breed (the latter is what occurred to me).
Nearly all Dachshund around the globe are in danger because of a illness related to a genetic mutation related to dwarfism, which provides the Dachshund their distinct look. Whereas there may be no definitive test for IVDD, there was some progress is stopping the results of that genetic mutation.

Photograph Credit score: Depositphotos/MattiaATH
The Too Lengthy; Didn’t Learn Model
That is the TL;DR model should you simply need to skim over the reason of why again screening is vital and simply leap proper to the record of US breeders that do it.
Whereas there’s no strategy to fully stop disk herniations on account of the genetic illness that causes spinal disks to age prematurely and rupture (Intervertebral Disk Disease – IVDD), breeders in Europe have been utilizing Radiographs (X-rays) of the backbone to assist decrease the danger in future generations.
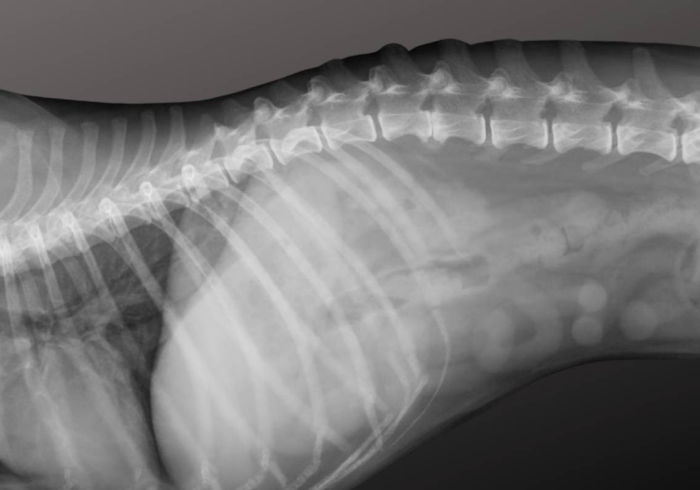
Again screening is completed between ages 2–4 and appears for calcified disks. Fewer calcifications typically means a decrease likelihood of great again issues later in life.
Due to the excessive heritability of disk calcification, it’s attainable that selective breeding in opposition to excessive numbers of calcified disks might cut back the prevalence of extreme disk herniation in Dachshunds. (source)
In Denmark, this program has been tracked for greater than a decade and has already proven promising ends in lowering the common variety of calcifications in Dachshunds.
It’s not a assure – any Dachshund can nonetheless harm their again – however screening is taken into account the present “greatest apply” for breeders who need to give their puppies the very best begin.
When you’re searching for a Dachshund pet, selecting a breeder who screens their canines is among the greatest methods to stack the chances in your favor.
A Deeper Look – Why Again Screening is Helpful
One of many greatest well being challenges Dachshunds face is Intervertebral Disk Illness (IVDD), which may trigger painful spinal disk bulges or ruptures. Sadly, some ruptures will trigger a canine to turn out to be paralyzed (fortunately, there are remedies, which embody conservative and surgery).
Since round 25% of Dachshunds will expertise IVDD of their lifetime, breeders and house owners alike have appeared for methods to cut back the danger. Some of the promising approaches is utilizing X-ray to display for spinal calcifications in potential mates.
This technique, broadly utilized in Denmark and Finland, includes taking particular radiographs of a Dachshund’s backbone when they’re between the ages of two and 4 to rely the variety of calcified disks. The variety of calcifications offers breeders a sign of how severely the canine could also be affected by IVDD and the way possible they’re to expertise a disk herniation later in life.
The outcomes are reported as a again rating, referred to as the Okay Quantity:
- Grade K0 = no calcifications
- Grade K1 = 1–2 calcifications
- Grade K2 = 3–4 calcifications
- Grade K3 = 5 or extra calcifications.
In 2014, veterinarians Tine Marx and Charlotte Mørck Andersen carried out a Masters thesis on again heath and concluded: Canines with 5 or extra calcified discs had 11 occasions higher threat of disc herniation in comparison with canines with fewer than 5 calcifications. (source)
By avoiding breeding canines with excessive calcification counts collectively, or ensuring to solely breed one which has a excessive rely with one with one which has a really low rely, breeders can slowly shift the inhabitants towards fewer again issues over time.
Genetic testing for the genetic mutation that causes IVDD exists, however as a result of almost all Dachshunds have at the very least one copy of this gene, DNA outcomes don’t present helpful predictions. X-ray screening gives sensible, measurable info that displays how severely a canine is affected. This makes it the most effective instruments out there for breeders dedicated to lowering IVDD.
Denmark has been on the forefront in the case of analysis into disk rupture and prolapse. The Danish Kennel Membership (DKC) has tracked the outcomes of this breeding scheme for nearly 20 years.
They’ve discovered that selective breeding based mostly on again scores has step by step diminished the common variety of calcifications within the inhabitants, exhibiting actual progress towards reducing threat.
This info is so clear, that in 2019, new breeding guidelines for Dachshunds had been established in Denmark. The DKC mandated that each mother and father should be again X-rayed earlier than breeding and solely Dachshunds which might be K0-K2 can be utilized in breeding.
Vital notice: Neither the Dachshund Membership of America (DCA) or American Kennel Membership (AKC) recommend again screening as a means to assist stop IVDD associated again points in Dachshunds.
Whereas the American Kennel Membership (AKC), which takes course from the Dachshund Membership America (DCA), emphasizes well being testing like patella, cardiac, and eye exams, they don’t recommend again x-ray screening earlier than breeding.
In a letter despatched from DCA to in June 2019, it’s acknowledged, “ailments akin to LaFlora Illness, IVDD (Intervertebral Disk Illness), and PRA (Progressive Retinal Atrophy)
ought to be thought of by breeders and might be probably addressed as dependable, significant exams turn out to be out there.”
In all of my analysis, it seems that, regardless of the proof popping out of Denmark, the DCA nonetheless doesn’t think about again x-ray screening “dependable” or “significant”, which is why they don’t suggest it.
It is vital to grasp that even the most effective screening program can’t remove disk herniations fully. A canine with a low calcification rely can nonetheless undergo a again harm, and a canine with the next rating could by no means have issues. Screening is a “greatest apply,” not a assure.
Nonetheless, I believe it’s the most effective likelihood we have now to stop again accidents presently.
Listing of US Dachshund Breeders Utilizing X-ray Again Screening
In more moderen years, I’ve turn out to be considerably of a believer in X-ray again screening. It’s very not often completed in the US (US) although. Within the virtually 3 years I’ve been looking, I’ve solely discovered three breeders that I can affirm do it.
I made a decision to make this record for:
- Potential pet consumers who need to purchase from a breeder within the Unites States who makes an attempt to cut back the incidence of disk herniation within the Dachshund breed by an X-ray scheme.
- Dachshund breeders who need to join with different breeders who’re utilizing x-ray screening for calcifications of their breeding program, both to study or receive males or females for breeding from them (I’ve not verified that these individuals will promote with breeding rights although).
I’ll add to this record if I study of extra breeders doing it.
1) Eridox Dachshunds
Eridox Dachshunds is situated close to Kansas Metropolis, MO and Lisa J. Emerson has been utilizing x-ray screening for calcifications in her breeding program for shut to twenty years (for 8 generations!). She is extraordinarily educated in regards to the Dachshund breed, is the writer of the Wienepedia academic web site and ebook The Dachshund Spine.
Lisa can be co-author on the paper The PMEL gene and merle (dapple) in the dachshund: cryptic, hidden, and mosaic variants demonstrate the need for genetic testing prior to breeding and is engaged on a paper referred to as Dapple (merle) genotype affect on ocular and undercoat phenotypes within the dachshund, which is about to publish in 2026 (Otter is included in analysis for the latter).
Lisa breeds each miniature (primarily) and normal (sometimes – usually small requirements) Dachshunds with brief, lengthy, and wire coats. She is the one breeder that does each again screening and breeds fancy and distinctive coat colours and patterns (dapples, dilutes, and so on.).
My boy Otter got here from Eridox and I’m nonetheless in common contact with Lisa. We prefer to nerd out on Dachshund stuff and I plan to get Otter again screened after he turns 2 years previous in order that info may assist her sooner or later.
She is the founding father of the Dachshund IVDD Reduction Initiative, a examine that goals to take a look at the correlation between diet and spinal calcifications.
2) Dachshunds within the Sky With Diamonds
Dachshunds in the Sky With Diamonds is situated in Rochester, MN and is owned by Michelle Kutzler, a veterinarian and board licensed veterinary copy specialist at Oregon State College (OSU). I don’t understand how lengthy she has been x-ray screening, however I think about it’s been a very long time.
Michelle is an AKC Breeder of Merit of present and efficiency miniature Dachshunds (wire-haired, long-haired, short-haired). She can be an AKC decide for scent hound subject trials, earthdog, CGC, and farm canine.
Michelle has been concerned in means too many publications to record, however a few her YouTube interviews I discover very worthwhile are The Truth About Early Spay and Neuter and The Powerful Role of Hormones in Your Pet’s Health.
Whereas I’ve by no means spoken along with her personally, we do “run in comparable circles” within the Dachshund and IVDD communities. I hope to attach along with her personally at some point and maybe interview her for our YouTube channel.
3) Majors Dachshunds
Majors Dachshunds, situated in Northern Utah, is owned by Stephanie Main. She has over 20 years of breeding expertise, and is the creator of the Breeders Bootcamp program and a course teacher for the Grasp Class and Labor & Supply.
She breeds clean and lengthy hair miniature Dachshunds, and has been again screening for calcifications since 2024.
Remaining Ideas
Whereas there may be proof that x-ray again screening in a breeding program has the potential to cut back the incidence of IVDD-related disk harm within the Dachshund breed, I additionally perceive it isn’t a assure in opposition to it.
Traditionally, Dachshund breeders within the US have used anecdotal proof that their strains don’t have a historical past of again accidents (made by observations of their breeding canines and experiences from pet consumers), and that’s nonetheless the commonest apply right now.
I acknowledge there may be benefit to that. A minimum of they’re conscious of the issue and monitoring it of their breeding program. Nonetheless, at the very least in my thoughts, there’s a large margin of error right here. This technique largely depends on pet consumers to report any IVDD again points to the breeder.
From the proprietor perspective, I’ve personally seen conversations round this. Some individuals say they didn’t know they need to report it again to the breeder. Others say that they did and the breeder didn’t care (implying that they’re much less prone to do it subsequent time).
I don’t perceive how a breeder may be fairly positive there may be isn’t a historical past of again accidents within the puppies they produce in the event that they aren’t listening to about them?
I undoubtedly received’t declare I’ll by no means purchase a Dachshund pet from a breeder that doesn’t again display ever once more, however now that I do know higher, I’m not positive that I can “return”. I do actually consider that is the most effective likelihood we have now of lowering the frequency of spinal accidents within the breed in the mean time.
I prefer to assume that if potential consumers ask breeders about x-ray screening, extra will begin doing it.
